Безопасное выполнение МРТ у пациентов с кардиостимуляторами и ИКД

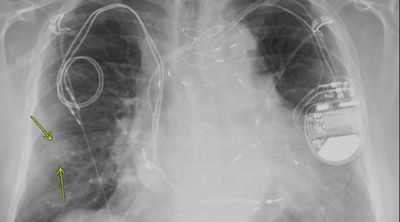
Согласно исследованию, опубликованному в журнале Radiology: Cardiothoracic Imaging, обследования МРТ могут быть безопасно выполнены у пациентов с кардиологическими устройствами, несовместимыми с МРТ, в том числе у тех, кто зависит от кардиостимулятора или у которых нет электродов.
Миллионы людей во всем мире полагаются на имплантированные сердечные устройства, такие как кардиостимуляторы и имплантируемые кардиовертеры-дефибрилляторы (ИКД), чтобы контролировать аномальные сердечные ритмы. …
Безопасное выполнение МРТ у пациентов с кардиостимуляторами и ИКДПодробнее »
